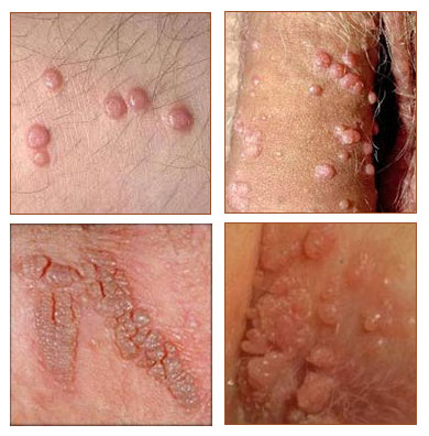
cara mengatasi kutil kelamin dengan bawang putih__Kutil kelamin biasanya muncul sebagai pertumbuhan dengan warna abu-abu atau sebagai pertumbuhan daging yang terjadi di sekitar wilayah genital. Mereka tumbuh dalam bentuk cluster yang menyerupai struktur kembang kol dan bahkan dapat muncul secara tunggal. Human Papilloma Virus (HPV) adalah penyebab utama penyakit ini. Yang cukup sulit untuk dilakukan adalah menentukan seseorang sedang mengidap penyakit ini melalui penglihatan visual. Dalam kasus yang sangat jarang terjadi, kutil juga mungkin tidak muncul selama bertahun-tahun, bahkan setelah orang tersebut akan terpengaruh dengan virus.
Penyakit ini disebabkan oleh virus yang disebut dengan HUMAN PAPILOMA VIRUS atau virus papiloma manusia. Apa itu Virus HPV ??. Virus ini muncul akibat adanya kegiatan sexual antara pria dan wanita dengan seringnya bergonta ganti pasangan.Meskipun bergitu tidak sedikit juga yang bisa terjangkit ini karena menggunakan wc umum yang sebelumnya telah ditularkan virusnya oleh penderita yang masuk duluan.Tidak banyak yang tahu bahwa dirinya telah terjangkit akan virus tersebut maupun belum karena pada saat gejala awal tidak menimbulkan gejala apapun. Tetapi lama kelamaan akan muncul rasa risih didaerah genital baik itu pria dan wanita.
Kutil kemaluan ialah suatu penyakit menular seksual yang disebabkan oleh suatu virus bernama HPV atau istilah kedoterannya HUMAN PAPILOMA VIRUS (Virus Papiloma Manusia). Virus ini menyebar melalui kontak langsung dengan sang penderita yang telah terjangkit dengan orang lain. Selain kontak langsung, dapat ditularkan melalui perantara seperti wc umum, penggunaan pakaian atau alat mandi secara bersamaan.

Virus akan menyebar dalam tubuh kita secara perlahan dan biasanya gejala awal penyebarannya tidak bisa diketahui. Penyakit ini akan kita ketahui ketika muncul gejala seperti gatal gatal didaerah kemaluan, daerah genital mulai berwarna hitam, muncul kutil kecil sampai berjumlah banyak menyerupai kembang kol yang berjongjot-jongjot.
Bila kutil tersebut sudah mulai membesar maka akan membuat risih kita dan mengganggu aktifitas kita seperti saat bekerja, melakukan kehidupan sehari hari bahkan saat berhubungan sex dengan pasangan.
Jika dibiarkan akan semakin parah dan jumlah dari kutil kelamin tersebut akan semakin banyak dan berkelompok.
Alternatif pengobatan yang dapat digunakan yaitu melakukan operasi, membeli obat diapotik, membeli obat tradisional yang berasal dari bahan herbal berkualitas seperti kapur sirih, bawang putih dan lainnya.
Melakukan operasi merupakan cara yang efektif untuk digunakan sebagai pertimbangan dalam pengobatan kutil kelamin tersebut yang sudah ada di kota kota besar seperti jakarta, jogja, surabaya, doli, aceh, sumatra, kalimantan, sulawesi, papua, bandung sampai malaysia.
Cara menghilangkan kutil dengan cepat dan tidak sakit_Proses perawatan yang akan dilakukan oleh pihak rumah sakit akan secara intensif sesuai dengan keluhan dan kondisi dari kita sendiri. Akan Tetapi harga untuk melakukanya bisa digolongkan cukup mahal. Terlebih lagi ketika kita mendatangi rumah sakit tersebut maka pihak farmasi akan langsung berpikiran negatif kepada kita bawasanya penyakit tersebut adalah hal yang tabu pada masyarakat umum.
Selain melakukan operasi, ada juga Obat kutil kelamin diapotik yang mudah untuk ditemukan dan bisa dikatakan murah. Kenapa demikian??, karena kita cukup hanya pergi ke apotik lalu menanyakannya pada pihak apotik tentang obat tersebut. Tetapi kita juga terkadang ada rasa malu dan tidak enak saat pergi kesana karena saat orang lain mendengar hal tersebut maka kita akan dicibir oleh yang lainnya karena kutil kelamin adalah penyakit menular seksual.
Ada alternatif pengobatan yang dapat kita lakukan selain operasi dan obat kutil kelamin di apotik yaitu obat tradisional yang terbuat dari bahan herbal berkualitas. Bahan dari Obat herbal kutil kelamin ini dapat ditemukan dirumah sendiri. Karena Berasal dari bahan herbal alami maka kita tidak perlu khawatir akan efek sampingnya. Karena sudah diramu sedemikian ruma sehiingga akan baik untuk tubuh kita terutama dalam penyembuhan penyakit tersebut.
Selain itu, kita juga tidak usah malu untuk membelinya karena kita hanya perlu menghubungi pihak terkait untuk mendapatkannya.
Konsultasi gratis
WhatsApp : 0857-1558-5781
CALL/SMS : 0851-3040-6868
BBM : 7E6C5F4D
@




0 komentar:
Posting Komentar - Kembali ke Konten